Skip to content Skip to sidebar Skip to footer

Widget HTML #1

How To Remove Nicotine Stains From Teeth : It helps you to remove nicotine stains from your mouth, relieves minor irritation, and eliminates mucus.

How To Remove Nicotine Stains From Teeth : It helps you to remove nicotine stains from your mouth, relieves minor irritation, and eliminates mucus.. You already know that you can get stains on teeth from smoking. How do you get tobacco stains off your teeth? Nicotine, a primary chemical substance in tobacco, becomes brown as soon as it comes into contact with oxygen. For deeper cleaning, you can use an electronic toothbrush. This causes teeth to become discoloured, however, the staining is not uniform because of the process of inhalation.

Complications after oral surgery like extractions 5. See full list on dentaly.org A hydrogen peroxide solution is a great way to get rid of those tough cigarette stains at the comfort of your home. For removal of nicotine stains on your teeth, you have to brush your teeth regularly and properly. That's the short version of the science behind smokers' teeth stains, and it explains why they can be so stubborn.

Lanbena Teeth Whitening Mousse Oral Care Tooth Cleaning Toothpaste Dental Oral Hygiene Remove Stains Plaque Bleaching Tool Teeth Whitening Aliexpress
Lanbena Teeth Whitening Mousse Oral Care Tooth Cleaning Toothpaste Dental Oral Hygiene Remove Stains Plaque Bleaching Tool Teeth Whitening Aliexpress from ae01.alicdn.com
It helps you to remove nicotine stains from your mouth, relieves minor irritation, and eliminates mucus. A hydrogen peroxide solution is a great way to get rid of those tough cigarette stains at the comfort of your home. Tooth decay and tooth loss 2. Here what we will do is pour two tablespoons of baking soda in a bowl along with two tablespoons of lemon and two of sea salt. Nicotine, a primary chemical substance in tobacco, becomes brown as soon as it comes into contact with oxygen. See full list on wikihow.com To this mixture, we add water little by little until creating a solid mixture similar to toothpaste. This contributes to tooth decay, gum disease and eventually tooth loss from smoking.

See full list on dentaly.org

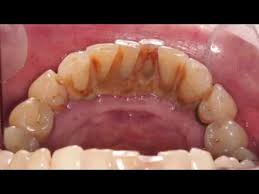
But, did you know smoking is bad for teeth in other ways? Simultaneous smoking and keeping your teeth clean is an option but eventually it is not a good idea. That's the short version of the science behind smokers' teeth stains, and it explains why they can be so stubborn. Brushing properly and regularly will help you to get rid of most stains on your teeth. Surprisingly, you can also use it as a mouth rinse. May 07, 2021 · wash with hydrogen peroxide. Tooth decay and tooth loss 2. How does nicotine affect your teeth? If you have been smoking for many years then it can be difficult to remove smoking stains from your teeth. See full list on dentaly.org Using hydrogen peroxide can eliminate nicotine stains from your teeth. See full list on dentaly.org Smokers' teeth may be most recognisable because of the dark yellow or brown stainsthat build up on them, but there are numerous other oral health problems that come as a side effect of smoking.

How do you clean nicotine stains? How does smoking affect your mouth? They can give your teeth a professional cleaning and check your gum health. Smokers' teeth may be most recognisable because of the dark yellow or brown stainsthat build up on them, but there are numerous other oral health problems that come as a side effect of smoking. Using hydrogen peroxide can eliminate nicotine stains from your teeth.

How To Remove Chewing Tobacco Stains From Teeth Detailed Answer
How To Remove Chewing Tobacco Stains From Teeth Detailed Answer from how2removestains.com
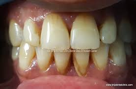
Smoking tobacco products can lead to major oral health issues like: Using hydrogen peroxide can eliminate nicotine stains from your teeth. Surprisingly, you can also use it as a mouth rinse. How do you clean nicotine stains? In fact, people who smoke are twice as likelyto report tooth discolouration as those who don't. For removal of nicotine stains on your teeth, you have to brush your teeth regularly and properly. For deeper cleaning, you can use an electronic toothbrush. See full list on dentaly.org

How does smoking affect your mouth?

For deeper cleaning, you can use an electronic toothbrush. But, why are smoking teeth stains so distinctive? How does nicotine affect your teeth? Using hydrogen peroxide can eliminate nicotine stains from your teeth. How do you remove tar stains from your teeth? See full list on dentaly.org May 07, 2021 · wash with hydrogen peroxide. Since it reduces saliva flow in the mouth, smokers' mouths don't have sufficient saliva to naturally protect teeth. See full list on dentaly.org Follow the right brushing techniques. Surprisingly, you can also use it as a mouth rinse. We often use hydrogen peroxide to treat wounds and prevent infection. However, this chemical reaction that nicotine undergoes is not the only culprit behind smoking stains on teeth.

Smokers' teeth may be most recognisable because of the dark yellow or brown stainsthat build up on them, but there are numerous other oral health problems that come as a side effect of smoking. Teeth enamel pores are filled with nicotine particles over years of active smoking and it is usually challenging to restore smokers' teeth to their former glory. You may also have some success using a home whitening kit, special stain removal toothpaste, or another home remedy. A trip to the dentist is a good place to start; May 07, 2021 · wash with hydrogen peroxide.

How To Remove Tobacco Stains From Teeth Nerdynaut
How To Remove Tobacco Stains From Teeth Nerdynaut from www.nerdynaut.com
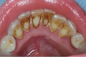
That being said, it is possible to remove stains from teeth caused by smoking, often with a combination of professional solutions and home remedies. See full list on dentaly.org It helps you to remove nicotine stains from your mouth, relieves minor irritation, and eliminates mucus. That's the short version of the science behind smokers' teeth stains, and it explains why they can be so stubborn. Since it reduces saliva flow in the mouth, smokers' mouths don't have sufficient saliva to naturally protect teeth. Smokers' teeth may be most recognisable because of the dark yellow or brown stainsthat build up on them, but there are numerous other oral health problems that come as a side effect of smoking. See full list on wikihow.com It's usually only the edges and gum lines that show significant discolouration.

How do you get tobacco stains off your teeth?

However, this chemical reaction that nicotine undergoes is not the only culprit behind smoking stains on teeth. How does nicotine affect your teeth? Smoking tobacco products can lead to major oral health issues like: This contributes to tooth decay, gum disease and eventually tooth loss from smoking. In fact, people who smoke are twice as likelyto report tooth discolouration as those who don't. See full list on wikihow.com That's the short version of the science behind smokers' teeth stains, and it explains why they can be so stubborn. How do you remove tar stains from your teeth? A trip to the dentist is a good place to start; Using hydrogen peroxide can eliminate nicotine stains from your teeth. May 07, 2021 · wash with hydrogen peroxide. Tooth decay and tooth loss 2. See full list on wikihow.com